矯正歯科専門 東京都渋谷区神宮前(表参道、原宿)
インコグニート 杉山矯正歯科

矯正治療中の歯磨き(表側の矯正装置の歯磨き法)

矯正歯科の治療中は矯正装置のまわりに食べかすがたまりやすくなります。しっかりと歯磨きをしましょう。
矯正中の歯磨き用具には次のようなものがございます。


タフト

タフト二列ぬき

cure

オーソセブン

インタースペース

歯間ブラシ

歯磨き上手

ホームジェル

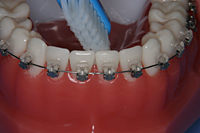
上の歯

▲歯ぐき側から毛先がワイヤーの間に入るように傾けて左右に振動させる
▲歯の先端側から毛先がワイヤーの間に入るようにして磨く
▲装置の上から細かく振動させて磨く
▲歯の裏側は一本づつかき出すようにして縦に磨く

▲咬む面は小刻みに横に動かして磨く

下の歯

▲歯ぐき側から毛先がワイヤーの間に入るように傾けて左右に振動させる
▲歯の先端側からワイヤーの間に毛先が入るようにして磨く
▲装置の上から細かく振動させて磨く
▲歯の裏側は一本づつかき出すようにして縦に磨く

▲咬む面は小刻みに横に動かして磨く

その他


▲抜歯した歯の隣は歯ブラシの後方部を斜にあてて磨く
▲汚れを落としきれない箇所は写真のような歯ブラシを使い細かく振動させて磨く

▲磨き残しの多い箇所は特に気をつけて磨く

プラークは歯の色と同系色のため、見分けがつきにくいです。時々歯垢染め出し液を使って歯磨きができているか確認する事をおすすめします。
デンタルフロスも使用できます。使い方はお気軽に衛生士に御相談ください。

不安な事、わからない事は遠慮なくなんでも質問してください。

矯正治療中の歯磨き(裏側の矯正装置) >>


矯正歯科のカウンセリングは無料です。
様々な治療方法や費用・期間などを、疑問や不安にお答えしながらご案内させていただきます。

医院にて: お電話(03-5411-4450) または 予約システムをご利用ください
メールにて: 以下のフォームからお気軽にお問い合わせください

ご意見・お問い合わせなんでも結構です。
当院で矯正歯科の治療をしている方もご意見をいただけますようお願い申し上げます。
ご質問・ご相談
ご意見・ご要望 (現在当院で矯正治療中の患者様。無記名でもOKです)
通信欄
メール
TEL
お名前
ご住所
ご連絡方法 メール  電話


診療時間(木・日・祝日 休診)
10:00 〜 13:00××
14:30 〜 18:30
(土 14:00 〜18:00)
××


Copyright © 歯列矯正専門 医療法人社団矯晶会 杉山矯正歯科医院 〒150-0001 東京都渋谷区神宮前4-16-3 TEL 03-5411-4450